
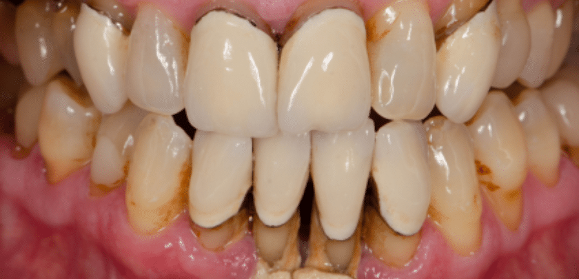
Gum disease, also known as periodontal disease, encompasses a range of conditions that affect the tissues surrounding the teeth. It starts as gingivitis, characterized by swollen, red gums that bleed easily, and can progress to periodontitis, where the inner layer of the gum and bone pull away from the teeth and form pockets that can become infected. If left untreated, periodontal disease can lead to tooth loss and has been linked to other chronic diseases, including cardiovascular disease and diabetes. The management of gum disease involves a combination of professional dental cleanings, improved oral hygiene practices, and in some cases, the use of antibiotics. This article delves into the various antibiotics used in the treatment of gum disease, highlighting their mechanisms, benefits, and considerations.
Antibiotics Overview
Antibiotics are a category of antimicrobial drugs used to treat infections caused by bacteria. In the context of gum disease, antibiotics can be used to reduce or eliminate the bacteria responsible for the infection, reduce inflammation, and prevent further bone loss. They can be administered systemically (oral or injectable) or locally (directly into the gum pockets).
Systemic Antibiotics
Systemic antibiotics are taken orally or injected and work throughout the body. They can be used for more generalized or severe cases of periodontal disease.
Doxycycline
Doxycycline is a tetracycline antibiotic that not only inhibits bacterial protein synthesis but also reduces the activity of collagenase, an enzyme that breaks down the connective tissue in the gums. This dual action makes doxycycline particularly useful in managing periodontal disease, as it can help control the infection and protect the gums from further damage.
Amoxicillin and Clavulanic Acid
Amoxicillin, often combined with clavulanic acid (as Augmentin), is a broad-spectrum antibiotic that is effective against a wide range of bacteria found in gum disease. Clavulanic acid inhibits beta-lactamase, an enzyme produced by some bacteria to resist the effects of antibiotics, making amoxicillin more effective.
Metronidazole
Metronidazole is effective against anaerobic bacteria, which thrive in the low-oxygen environment of periodontal pockets. It is often used in combination with amoxicillin for aggressive periodontitis or for patients who do not respond to other treatments.
Local Antibiotics
Local administration involves placing the antibiotic directly into the periodontal pockets, allowing for high concentrations at the site of infection with minimal systemic effects.
Atridox (Doxycycline Gel)
Atridox is a gel formulation of doxycycline that is placed into the periodontal pockets. It solidifies upon contact with the crevicular fluid, slowly releasing the antibiotic over several days to effectively reduce pocket depth and bacterial counts.
PerioChip (Chlorhexidine Gluconate)
PerioChip is a small, biodegradable chip containing chlorhexidine gluconate, a powerful antimicrobial agent. It is inserted into the periodontal pockets, where it dissolves, releasing the drug over a period of about seven days to reduce bacteria and inflammation.
Arestin (Minocycline Microspheres)
Arestin consists of minocycline (a tetracycline antibiotic) microspheres that are placed into the periodontal pockets. The microspheres release the antibiotic over time, providing a sustained antimicrobial effect to reduce pocket depth and infection.
Considerations and Side Effects
While antibiotics can be highly effective in the treatment of gum disease, their use must be carefully considered to avoid potential side effects and the development of antibiotic resistance. Side effects can include gastrointestinal disturbances, allergic reactions, and, in the case of tetracyclines, photosensitivity. The risk of developing antibiotic resistance increases with misuse and overuse of antibiotics, highlighting the importance of their judicious use.
Conclusion
The use of antibiotics in the treatment of gum disease offers a potent tool in managing bacterial infections and inflammation associated with periodontal conditions. Whether administered systemically or locally, these medications can significantly contribute to the overall treatment plan, especially in severe or persistent cases. However, it is crucial to use these drugs judiciously, in conjunction with mechanical debridement and good oral hygiene practices, to minimize risks and promote optimal gum health. Collaboration between dental professionals and patients is essential to tailor treatments to individual needs, ensuring the best possible outcomes in the fight against gum disease.