
Dental implants have revolutionized dentistry, offering a durable and aesthetically pleasing solution for those with missing teeth. While these implants have a high success rate, there are instances where they may fail. Understanding the common causes of dental implant failure is crucial for patients and dental professionals. In this blog, we’ll delve into the factors that can contribute to implant failure and explore ways to prevent and address these issues.
Exploring Causes Of Dental Implant Failure
Dental implants have become popular for individuals seeking a permanent solution to missing teeth. These artificial tooth roots provide a strong foundation for replacement teeth, mimicking the natural structure of the teeth. However, despite their success, there are instances where dental implants may fail. Let’s explore some common causes of dental implant failure.
Poor Oral Hygiene
One of the primary causes of dental implant failure is poor oral hygiene. Just like natural teeth, implants require regular care to prevent infections and complications. If proper oral hygiene practices are not maintained, bacteria can build up around the implant site, leading to peri-implantitis—a condition similar to gum disease. This inflammation can compromise the implant’s stability and eventually lead to failure.
Insufficient Bone Density
Adequate bone density is crucial for the success of dental implants. When a tooth is lost, the surrounding bone may deteriorate over time. Insufficient bone density can make it challenging for the implant to integrate securely with the jawbone. To address this issue, bone grafting procedures may be recommended before implant placement to ensure a stable foundation.
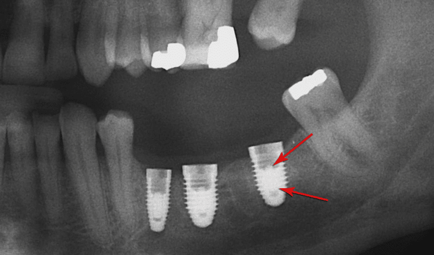
Implant Misalignment
Precise placement of dental implants is essential for their long-term success. If an implant is misaligned during placement, it can create stress on the surrounding bone and tissues. This stress may result in implant failure over time. Working with an experienced and skilled implant dentist is crucial to ensure accurate placement and alignment.
Infections And Complications
Infections around the implant site can significantly impact its success. These infections may occur during healing or later due to poor oral hygiene. Additionally, complications such as nerve damage or sinus issues in the case of upper jaw implants can contribute to implant failure. Regular follow-up appointments with the dentist are essential to monitor the healing process and address any emerging issues promptly.
Smoking And Tobacco Use
Smoking and the use of tobacco products have been linked to an increased risk of dental implant failure. Nicotine can impede healing and restrict blood flow to the gums and bone. Patients considering dental implants are advised to quit smoking before the procedure to enhance their chances of successful implantation.
Tips And Tricks To Maintain Your Dental Implants
Choose The Right Oral Care Products
Opt for oral care products specifically designed for dental implants. Your dentist can recommend toothpaste and mouthwash that are gentle yet effective. Avoid abrasive or alcohol-based products, as they can be harsh on both the implant and the surrounding gums.
Regular Dental Check-Ups And Cleanings
Schedule regular check-ups with your dentist to monitor the health of your dental implants. Professional cleanings are essential to remove any accumulated plaque or tartar that may be challenging to reach with regular brushing and flossing.
Quit Smoking And Limit Alcohol Consumption
Smoking and excessive alcohol consumption can negatively impact the success of dental implants. Both habits can hinder the healing process and increase the risk of complications. Quitting smoking and moderating alcohol intake contributes to your overall health and the long-term success of your implants.
Protect Your Implants From Trauma
Avoid habits that can cause trauma to your dental implants, such as biting on hard objects, using your teeth to open packages, or chewing on ice. Additionally, consider wearing a mouthguard to protect your implants from potential impact if you participate in contact sports.
By following these tips and tricks, you can actively contribute to the success and longevity of your dental implants. Remember that maintaining oral health is a lifelong commitment, and regular communication with your dentist is key. With proper care and attention, your dental implants can provide you with a confident smile and functional bite for many years.
While dental implants offer a reliable solution for missing teeth, understanding and addressing the common causes of implant failure is essential for long-term success. Maintaining good oral hygiene, addressing bone density issues, ensuring precise implant placement, and considering overall health factors are key elements in preventing complications. By being proactive and informed, patients and dental professionals can work together to enhance the success rate of dental implants and provide individuals with a lasting, functional, and aesthetically pleasing solution to tooth loss.